
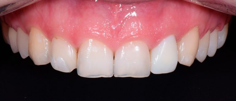
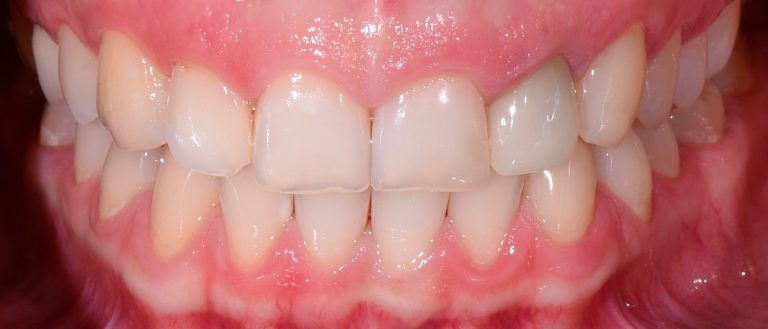
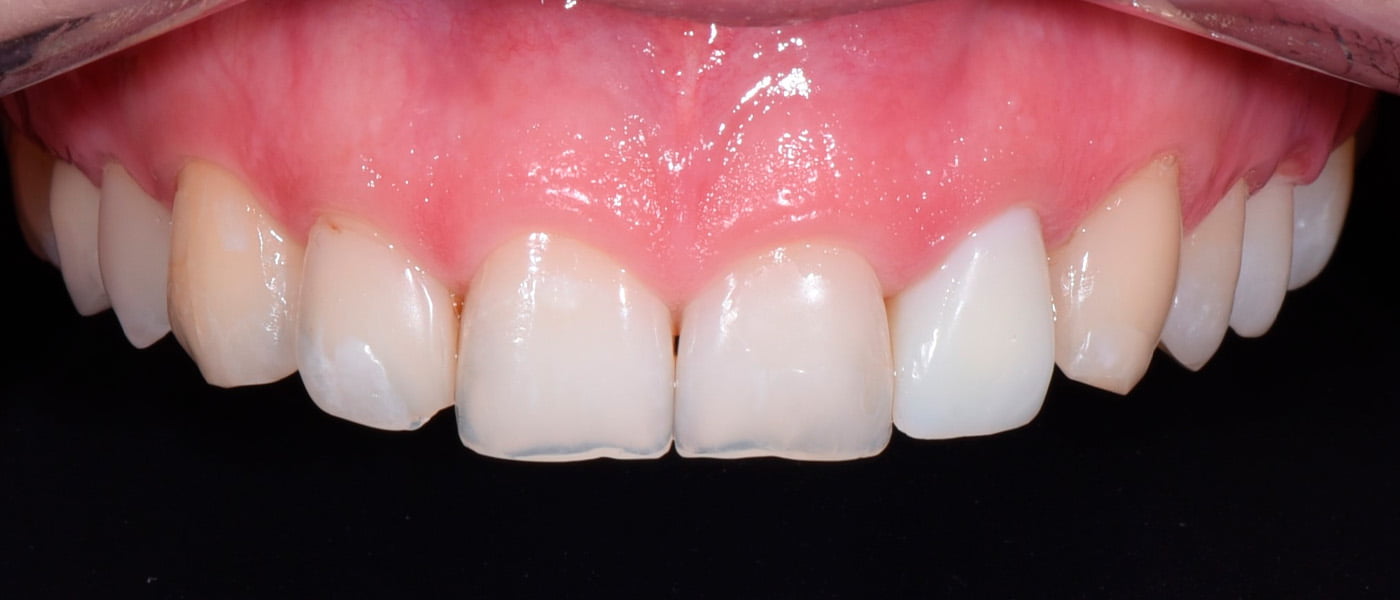
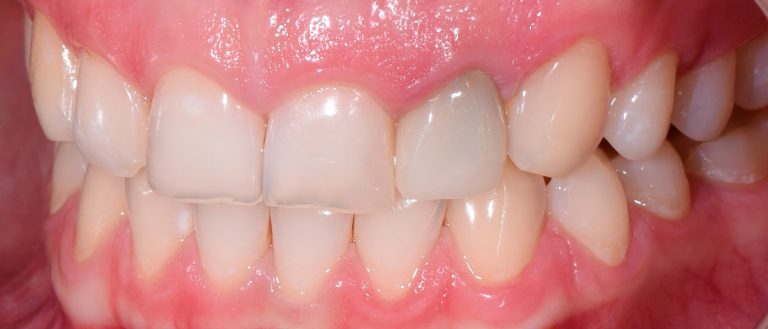
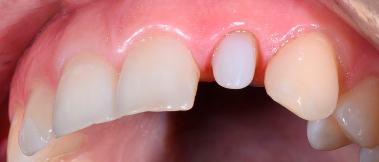
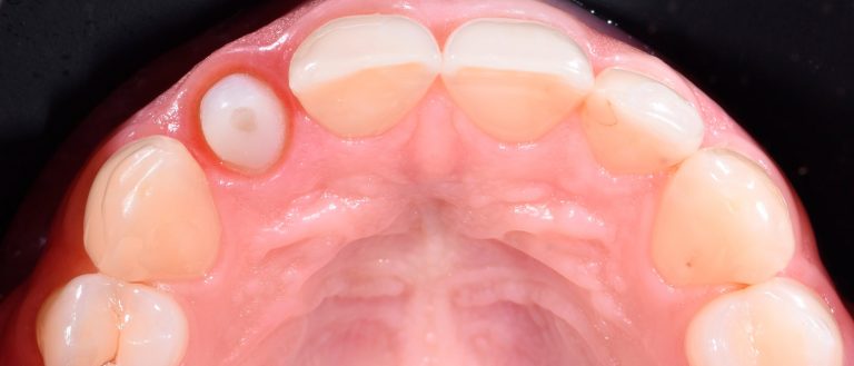
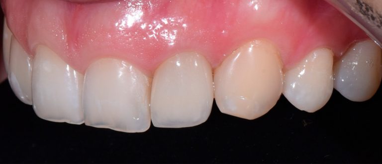
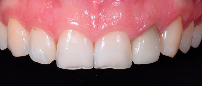
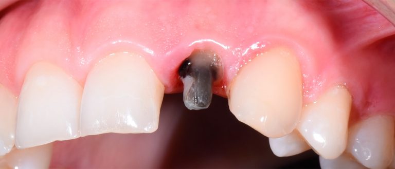
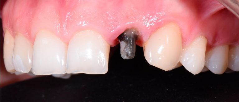
Обратилась с жалобами на неудовлетворительный вид коронки, воспаление десны, кровоточивость в области бокового резца, на верхней челюсти слева. После снятия старой коронки, провели эндодонтическое лечение канала зуба. Изготовили композитную вкладку и временную коронку. После заживления десны сняли слепки, с дальнейшей заменой временной коронки на постоянную из материала E-max.

стоматологическая клиника
Стоматологическая клиника «Bandurin Clinic» более 22 лет успешно заботится о здоровье своих пациентов. Гарантируем качество и ответственность за свою работу и здоровье Вас и ваших близких!