
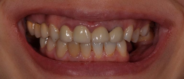
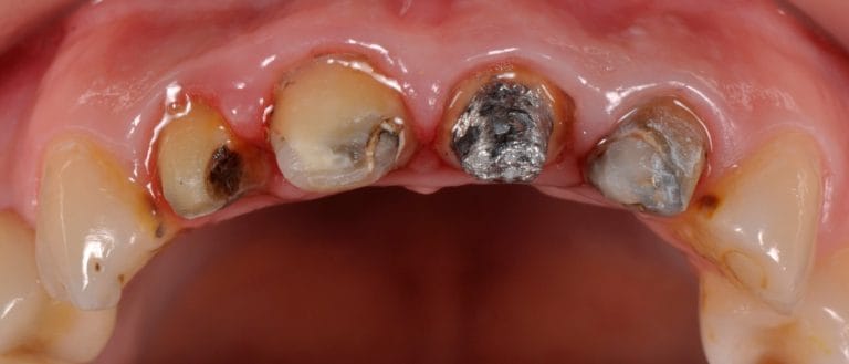
Обратилась с жалобами на старые коронки, потемнение возле десны.
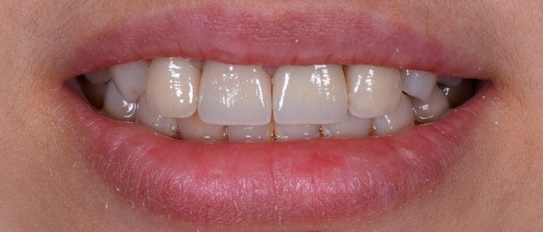
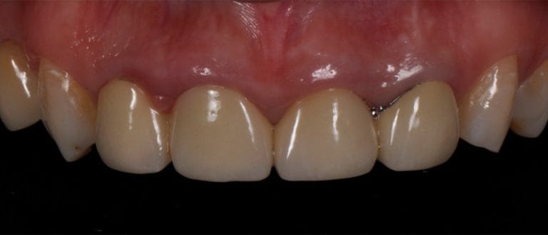
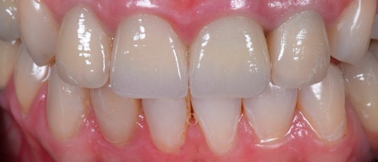
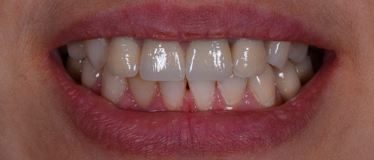
Было проведено снятие старых металлокерамических коронок, эндодонтическое лечение зуба 2.2, лечение кариеса 1.2, 1.1. и изготовлены временные коронки. Вкладка зуба 2.2, полировка зубов. Со временем временные коронки заменены на постоянные из материала E-max.

стоматологическая клиника
Стоматологическая клиника «Bandurin Clinic» более 22 лет успешно заботится о здоровье своих пациентов. Гарантируем качество и ответственность за свою работу и здоровье Вас и ваших близких!