
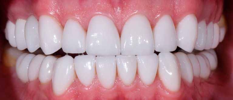
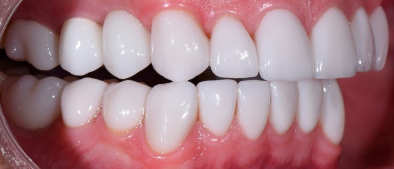
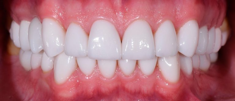
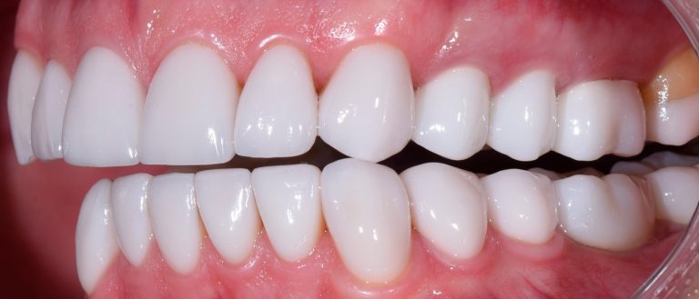
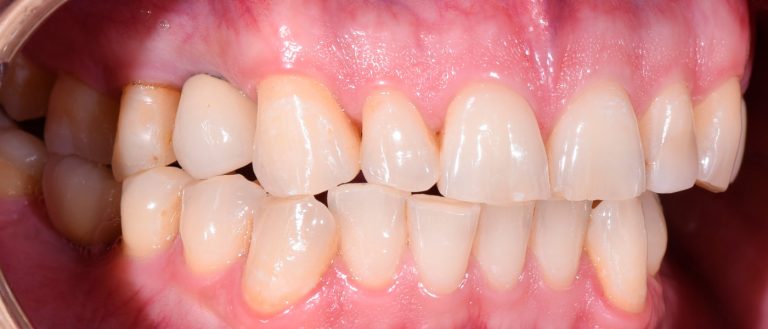
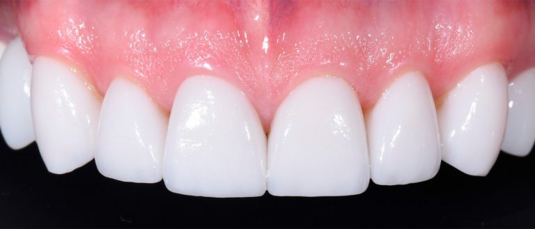
Обратился с жалобами на старые пломбы, стираемость, скученность зубов; неудовлетворительный вид старых металлокерамических коронок на имплантаты. Было проведено: аксиография, окклюзионная диагностика, цифровое восковое моделирование, снятие старых коронок, препарирование зубов и изготовление временных ортопедических конструкций. И дальнейшая замена временных на постоянные: окклюзионные накладки, коронки и виниры

стоматологическая клиника
Стоматологическая клиника «Bandurin Clinic» более 22 лет успешно заботится о здоровье своих пациентов. Гарантируем качество и ответственность за свою работу и здоровье Вас и ваших близких!