

Обратилась в клинику с жалобой на старую ортопедическую реставрацию и неудовлетворительный внешний вид.
Было проведено планирование, восковое моделирование, примерка и повторная консультация. Приняли решение протезировать три передних резца.
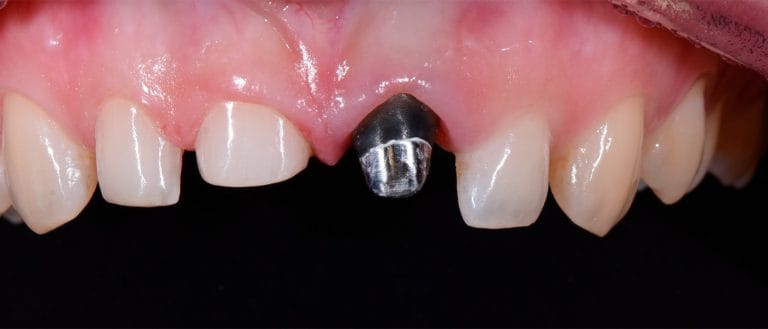
Снятие старых реставраций ( коронки с зуба 2.1 и композитной реставрации зуба 1.1).
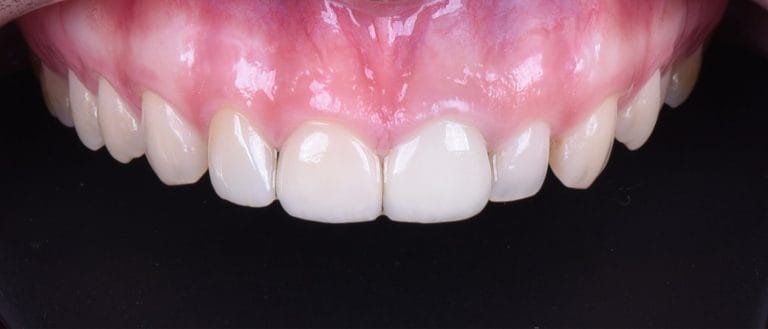
Препарирование зубов, изготовление временных акриловых конструкций. Слепки, изготовление постоянной коронки и виниров. Замена временных на постоянные ортопедические конструкции.
Достигнут хороший результат. Теперь пациентка довольна своей улыбкой.

стоматологическая клиника
Стоматологическая клиника «Bandurin Clinic» более 22 лет успешно заботится о здоровье своих пациентов. Гарантируем качество и ответственность за свою работу и здоровье Вас и ваших близких!
