

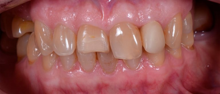
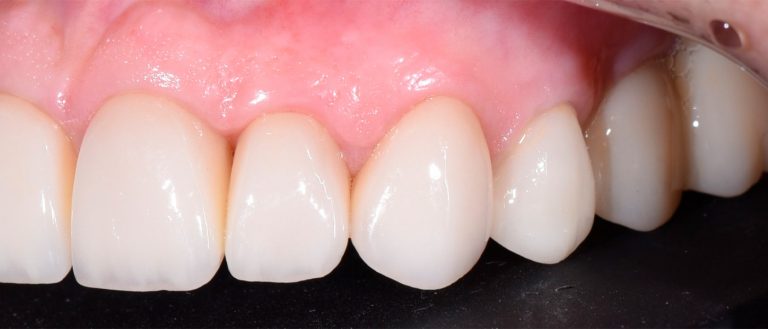
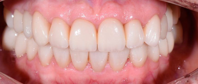
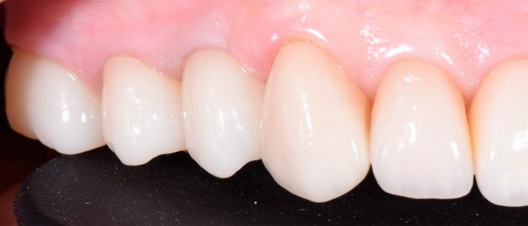
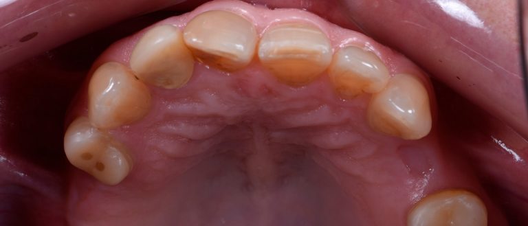
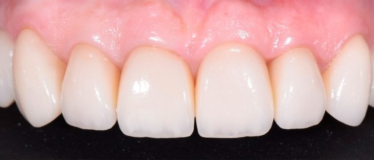
Обратилась с жалобами на стираемость, отсутствие зубов, старые коронки и реставрации, неудовлетворительный внешний вид улыбки. Провели лечение зубов. Восстановили разрушенные зубы вкладками. Провели имплантацию, с дальнейшим временным и постоянным протезированием коронками и винирами.
Великолепный результат достигнут благодаря планированию и командному подходу врачей: стоматолог ортопед, стоматолог хирург, стоматолог терапевт и зуботехнической лаборатории. А также соблюдению всех рекомендаций пациентом.

стоматологическая клиника
Стоматологическая клиника «Bandurin Clinic» более 22 лет успешно заботится о здоровье своих пациентов. Гарантируем качество и ответственность за свою работу и здоровье Вас и ваших близких!
